Гипертекоз яичников, или синдром Френкеля, — это состояние, связанное с разрастанием стромы яичников и повышением уровня андрогенов, что может вызывать различные клинические проявления, особенно у женщин в менопаузе. В статье рассмотрим основные причины гипертекоза, методы диагностики и лечения, что поможет женщинам и медицинским специалистам лучше понять это заболевание и принять необходимые меры. Понимание механизмов гипертекоза и его последствий важно для здоровья и качества жизни женщин в менопаузе.
Основные причины
В придатках яичников находятся тека-клетки, которые впоследствии образуют фолликулярную оболочку. Эти клетки производят андрогены, которые под воздействием ферментов преобразуются в эстрогены. При различных сбоях в организме, особенно связанных с нарушениями в эндокринной системе, строма может увеличиваться, и в ней могут появляться лютеиновые клетки. Это состояние известно как гипертекоз придатков.
Причины его возникновения до конца не выяснены. Однако существуют некоторые факторы, которые могут повышать вероятность развития этого заболевания:
- перенесенные операции на яичниках;
- гормональные нарушения;
- сбои в менструальном цикле;
- раннее или позднее начало менструации;
- наследственная предрасположенность.
К гормональным нарушениям, которые могут предшествовать гипертекозу, чаще всего относится избыточная стимуляция стромы яичников лютеинизирующим гормоном.
Синдром Френкеля является редким заболеванием, которое чаще всего выявляется у женщин в возрасте 45-55 лет. Тем не менее, его также могут диагностировать и у молодых женщин – данная патология встречается у 1 из 200 пациенток после операций на придатках.
Эксперты в области эндокринологии отмечают, что гипертекоз яичников может возникать по нескольким причинам. Одной из основных является нарушение гормонального баланса, часто связанное с избытком андрогенов. Это может быть следствием поликистозных яичников, где наблюдается повышенная продукция тестостерона. Также на развитие гипертекоза влияют метаболические расстройства, такие как ожирение и инсулинорезистентность, которые способствуют увеличению уровня андрогенов в организме. Важным фактором является и возраст женщины, так как с возрастом риск возникновения гормональных нарушений возрастает. Кроме того, генетическая предрасположенность может играть значительную роль в развитии данного состояния, что подчеркивает необходимость индивидуального подхода к диагностике и лечению.

Симптомы патологии
Гипертекоз вызывает серьезные гормональные нарушения в организме. Избыточное количество гиперплазированных тека-клеток производит андрогены, что, в свою очередь, приводит к увеличению уровня эстрогенов. Это проявляется в следующих аспектах:
- Гиперандрогения. Увеличение уровня тестостерона. У женщин наблюдаются изменения, такие как огрубение голоса, избыточное оволосение по мужскому типу, андрогенозависимая алопеция и угревая сыпь. Также может происходить формирование фигуры мужского типа с накоплением жировой ткани в области живота, сужением таза и увеличением ширины плеч.
- Гиперэстрогения. Это следствие повышенного уровня андрогенов, которые служат основой для синтеза эстрадиола. Проявляется в виде ожирения, нарушений менструального цикла, повышенной чувствительности молочных желез, перепадов настроения, ухудшения состояния кожи и волос, бессонницы и головных болей.
- Инсулинорезистентность. Увеличение уровня глюкозы в крови связано с невозможностью ее усвоения из-за снижения чувствительности клеток к инсулину. Это может привести к набору лишнего веса, межменструальным маточным кровотечениям, гипертонии и бесплодию.
Длительное течение заболевания и гормональный дисбаланс могут способствовать образованию новообразований на придатках. Чаще всего опухоли выявляются при гипертекозе яичников в период менопаузы. Изначально они могут быть доброкачественными, но отсутствие лечения может привести к их озлокачествлению.
| Фактор риска | Тип влияния | Возможный механизм |
|---|---|---|
| Нарушение функции гипоталамуса-гипофиза-яичников | Гормональный дисбаланс | Избыточная стимуляция яичников гонадотропинами, приводящая к гиперплазии тека-клеток |
| Синдром поликистозных яичников (СПКЯ) | Гормональный дисбаланс, генетическая предрасположенность | Гиперандрогения, инсулинорезистентность, нарушение фолликулогенеза, стимулирующие тека-клетки |
| Избыточный вес/ожирение | Метаболический дисбаланс | Гиперинсулинемия, повышение уровня андрогенов, хроническое воспаление |
| Гиперпролактинемия | Гормональный дисбаланс | Повышенный уровень пролактина может влиять на гонадотропин-рилизинг гормон (ГнРГ) и гонадотропины |
| Генетическая предрасположенность | Генетический фактор | Наследственные мутации, влияющие на стероидогенез и функцию яичников |
| Экзогенные эстрогены | Гормональный дисбаланс | Стимуляция роста и пролиферации тека-клеток |
| Стресс | Нейроэндокринный фактор | Влияние на гипоталамо-гипофизарную систему, нарушение гормонального баланса |
Интересные факты
Гипертекоз яичников — это состояние, связанное с избыточной продукцией андрогенов (мужских половых гормонов) яичниками. Вот несколько интересных фактов о причинах его появления:
-
Синдром поликистозных яичников (СПКЯ): Одной из наиболее распространенных причин гипертекоза является СПКЯ. Это состояние характеризуется нарушением гормонального баланса, что приводит к образованию кист в яичниках и повышенному уровню андрогенов. У женщин с СПКЯ часто наблюдаются симптомы, такие как нерегулярные менструации, избыточный рост волос и акне.
-
Опухоли яичников: Гипертекоз может быть вызван опухолями яичников, особенно текомами — доброкачественными опухолями, которые производят андрогены. Эти опухоли могут привести к значительному увеличению уровня тестостерона и других андрогенов в организме, что вызывает симптомы гипертекоза.
-
Генетические факторы: Некоторые исследования показывают, что генетическая предрасположенность может играть роль в развитии гипертекоза. У женщин с семейной историей гормональных нарушений или заболеваний яичников риск развития гипертекоза может быть выше, что указывает на возможное влияние наследственности на это состояние.

Методы диагностики
Для диагностики гипертекоза яичников женщине требуется пройти всестороннее обследование. Оно включает как лабораторные, так и инструментальные методы диагностики:
| Тип исследования | Описание |
|---|---|
| Гинекологический осмотр | Пальпация внутренних половых органов с целью выявления увеличенных яичников |
| Анализы крови на гормоны | Определение уровней тестостерона, эстрогена, ЛГ и ФСГ. При гипертекозе придатков наблюдаются повышенные значения всех этих гормонов, за исключением ФСГ |
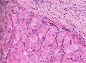
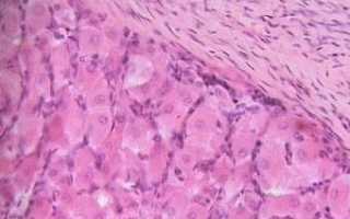
| УЗИ органов малого таза | Выявление гиперплазии стромы яичников и увеличение их размеров. Возможны кисты или опухоли |
| КТ или МРТ | Рекомендуется при недостаточной информативности УЗИ. Позволяет увидеть увеличение объема придатков, изменения в их структуре и очаги текоматоза |
| Диагностическая лапароскопия | Применяется в сложных случаях для уточнения диагноза и может перерасти в полноценную операцию. В процессе может быть выполнена биопсия ткани для повышения точности исследования |
Лечение гипертекоза назначается исключительно на основе результатов обследования. Дальнейшая терапия выбирается гинекологом в сотрудничестве с эндокринологом. При необходимости могут быть привлечены онколог и нейрохирург.
Дифференциальная диагностика
Перед началом терапевтических мероприятий важно провести дифференциальную диагностику. Гипертекоз имеет схожесть с рядом других заболеваний:
- андробластома – опухоль придатка, которая сопровождается вирилизацией;
- стромальная гиперплазия яичников – состояние, напоминающее гипертекоз, однако разросшиеся ткани не обладают гормональной активностью;
- текоматоз – увеличение стромальных эпителиальных клеток, которое не проявляется вирилизацией.
Необходимо различать гипертекоз яичников и другие заболевания этих органов, так как подходы к лечению могут значительно различаться. Установление точного диагноза осуществляется в ходе диагностических исследований. Наибольшее значение для определения типа заболевания имеют результаты анализов крови и инструментальных методов диагностики.

Способы лечения
Выбор метода терапии гипертекоза зависит от возраста женщины, степени тяжести заболевания, наличия сопутствующих симптомов и необходимости сохранения репродуктивной функции. Обычно пациенткам назначают медикаментозное лечение в сочетании с хирургическим вмешательством. Главной целью этих мероприятий является восстановление гормонального баланса.
Существует несколько подходов к лечению гипертекоза яичников:
- Если женщина планирует в будущем завести детей. В этом случае назначаются оральные контрацептивы и гормональные препараты, которые снижают уровень андрогенов. Также может быть выполнена резекция придатков для удаления очагов гипертекоза.
- Если репродуктивные планы отсутствуют. В таких ситуациях рекомендуется удалить пораженные яичники. Если операция не проводится, назначается длительная гормональная терапия для снижения выработки андрогенов.
В случае наличия доброкачественной опухоли целесообразно провести хирургическое вмешательство, что помогает предотвратить развитие онкологических заболеваний в яичниках.
Особое внимание следует уделить лечению гипертекоза в период менопаузы. В это время у женщин происходит естественная гормональная перестройка, которая может ухудшить течение заболевания и спровоцировать образование новообразований на придатках. В качестве профилактики гинекологических заболеваний рекомендуется проходить обследование каждые 4-6 месяцев в предклимактерический период.
Гипертекоз яичников можно полностью устранить с помощью хирургического и медикаментозного лечения. Раннее начало терапии способствует сохранению репродуктивной функции. Однако при значительном разрастании тканей придатков может потребоваться полное удаление органа.
Профилактика гипертекоза яичников
Профилактика гипертекоза включает в себя комплекс мероприятий, направленных на снижение риска развития этого заболевания и его осложнений. Гипертекоз яичников характеризуется избыточной продукцией андрогенов, что может привести к различным нарушениям в организме женщины, включая менструальные расстройства, бесплодие и другие эндокринные нарушения.
Одним из ключевых аспектов профилактики является регулярное медицинское обследование. Женщинам рекомендуется проходить гинекологические осмотры не реже одного раза в год, что позволяет своевременно выявлять возможные отклонения в работе яичников и других органов репродуктивной системы. При наличии предрасполагающих факторов, таких как поликистоз яичников или наследственная предрасположенность к эндокринным заболеваниям, частота осмотров может быть увеличена.
Здоровый образ жизни также играет важную роль в профилактике гипертекоза. Это включает в себя правильное питание, физическую активность и отказ от вредных привычек. Сбалансированная диета, богатая витаминами и минералами, способствует нормализации обмена веществ и поддержанию гормонального баланса. Регулярные физические нагрузки помогают контролировать вес, что особенно важно, так как избыточная масса тела может способствовать развитию гормональных нарушений.
Управление стрессом и психоэмоциональное здоровье также являются важными аспектами профилактики. Хронический стресс может негативно влиять на гормональный фон, поэтому важно находить способы расслабления и восстановления, такие как занятия йогой, медитацией или другими методами релаксации.
Кроме того, важно обращать внимание на симптомы, которые могут указывать на развитие гипертекоза, такие как изменения в менструальном цикле, увеличение волос на лице и теле, акне и другие кожные проявления. При появлении таких признаков следует незамедлительно обратиться к врачу для проведения диагностики и, при необходимости, начала лечения.
Наконец, важно помнить о роли генетической предрасположенности. Женщины с семейной историей заболеваний, связанных с нарушением гормонального фона, должны быть особенно внимательны к своему здоровью и регулярно консультироваться с эндокринологом или гинекологом.
Таким образом, профилактика гипертекоза требует комплексного подхода, включающего регулярные медицинские осмотры, здоровый образ жизни, управление стрессом и внимательное отношение к своему организму. Это поможет не только снизить риск развития заболевания, но и поддерживать общее здоровье и благополучие.
Вопрос-ответ
Что такое гипертекоз яичников и как он проявляется?
Гипертекоз яичников — это состояние, характеризующееся избыточной продукцией андрогенов (мужских половых гормонов) яичниками. Это может привести к различным симптомам, таким как нерегулярные менструации, акне, избыточный рост волос на теле и лице (гирсутизм), а также изменения в весе и настроении.
Какие факторы могут способствовать развитию гипертекоза яичников?
Среди факторов, способствующих развитию гипертекоза, можно выделить генетическую предрасположенность, нарушения в работе гипоталамо-гипофизарной системы, поликистоз яичников, а также некоторые эндокринные заболевания, такие как синдром Кушинга. Также влияние могут оказывать стресс и неправильное питание.
Как диагностируется гипертекоз яичников?
Диагностика гипертекоза включает в себя клинический осмотр, анализы на уровень гормонов, ультразвуковое исследование яичников и, при необходимости, дополнительные исследования, такие как МРТ или КТ, для исключения опухолей. Важно обратиться к врачу для получения точного диагноза и назначения соответствующего лечения.
Советы
СОВЕТ №1
Обратитесь к врачу для диагностики. Если у вас есть подозрения на гипертекоз яичников, важно пройти медицинское обследование. Специалист сможет назначить необходимые анализы и исследования, чтобы подтвердить или опровергнуть диагноз.
СОВЕТ №2
Следите за своим гормональным фоном. Изменения в менструальном цикле, увеличение веса или другие гормональные нарушения могут быть признаками гипертекоза. Ведение дневника симптомов поможет вам и вашему врачу лучше понять ваше состояние.
СОВЕТ №3
Обратите внимание на образ жизни. Здоровое питание, регулярные физические нагрузки и управление стрессом могут помочь в поддержании гормонального баланса и снижении риска развития заболеваний яичников.
СОВЕТ №4
Изучите информацию о возможных осложнениях. Понимание последствий гипертекоза, таких как бесплодие или риск развития рака, поможет вам более ответственно подходить к своему здоровью и своевременно обращаться за медицинской помощью.


