Анэхогенные включения в яичниках — важный аспект женского здоровья, требующий внимательного изучения. Эти образования, возникающие на фоне гормонального дисбаланса, могут сигнализировать о различных патологиях и осложнениях при отсутствии должного внимания. В статье рассмотрим анэхогенные кисты, причины их образования, а также методы диагностики и лечения. Знание этих аспектов поможет женщинам своевременно реагировать на изменения в организме и предотвратить негативные последствия.
Что такое анэхогенное образование
Анэхогенной называют такую структуру, которая способна поглощать и отражать ультразвуковые волны. Чаще всего она проявляется в виде кисты — новообразования округлой формы с утолщенными стенками. Внутри этой кисты скапливается жидкость, которая иногда может содержать примеси крови. Внутреннее содержимое новообразования характеризуется не только полной анэхогенностью, но и наличием сетчатой структуры с перегородками неправильной формы. Также могут наблюдаться гиперэхогенные включения.
Анэхогенные включения в яичниках представляют собой важный диагностический маркер, который требует внимательного анализа. Эксперты подчеркивают, что такие образования могут указывать на наличие различных патологий, включая кисты, опухоли или воспалительные процессы. Важно отметить, что не все анэхогенные включения являются злокачественными, однако их наличие требует дальнейшего обследования. Специалисты рекомендуют проводить ультразвуковое исследование и, при необходимости, дополнительные тесты для определения природы этих образований. Игнорирование анэхогенных включений может привести к запущенным формам заболеваний, поэтому регулярные проверки и консультации с врачом являются ключевыми для поддержания женского здоровья.

Виды кист
Цистаденомы анэхогенной структуры, которые могут возникать внутри или вблизи яичников, делятся на несколько категорий:
- фолликулярные. Эти кисты образуются из фолликула, который должен разорваться, чтобы яйцеклетка вышла во время овуляции. При наличии фолликулярной кисты разрыв не происходит;
- образования желтого тела. Они формируются, когда в области выхода яйцеклетки из фолликула накапливается жидкость;
- серозные. Это гладкостенные образования, состоящие из серозной ткани, которая покрывает яичники и содержит жидкость внутри;
- параовариальные. Эти кисты имеют плотную структуру и располагаются рядом с репродуктивными органами, иногда достигая значительных размеров.
Также различают одиночные и множественные кисты, а также однокамерные и двухкамерные. Для определения типа опухоли используется ультразвуковое исследование органов малого таза.
| Характеристика анэхогенного включения | Возможные причины | Потенциальные риски и осложнения |
|---|---|---|
| Простое кистозное образование (тонкая стенка, однородное содержимое) | Функциональная киста (фолликулярная, лютеиновая), киста желтого тела | Как правило, доброкачественное, самопроизвольное рассасывание, дискомфорт внизу живота, боли |
| Сложное кистозное образование (перегородки, неоднородное содержимое, утолщенная стенка) | Дермоидная киста, эндометриоидная киста, киста с перекрутом ножки, опухоль яичника (серозная, муцинозная цистаденомы, цистаденокарцинома) | Риск разрыва, перекрута, кровотечения, злокачественного перерождения (особенно при наличии признаков солидности), бесплодия, острой боли, перитонита |
| Анэхогенное образование с признаками солидности (сосудистые включения, неровные контуры) | Опухоль яичника (доброкачественная или злокачественная), тератома, метастазы | Высокий риск злокачественного перерождения, необходимость проведения дополнительных исследований (маркеры опухолей, биопсия), хирургическое вмешательство, метастазирование, летальный исход |
| Свободная жидкость в малом тазу | Разрыв кисты, кровотечение, воспаление | Боль, перитонит, необходимость хирургического вмешательства |
Интересные факты
Анэхогенные включения в яичниках могут быть связаны с различными состояниями, и вот несколько интересных фактов о них:
-
Диагностика и интерпретация: Анэхогенные включения на ультразвуковом исследовании (УЗИ) могут указывать на наличие жидкости в яичниках, что может быть признаком функциональных кист, таких как фолликулярные или корпусные кисты. Однако они также могут свидетельствовать о более серьезных состояниях, таких как эндометриоз или опухоли, что требует внимательного анализа и дальнейшего обследования.
-
Риск малигнизации: Хотя многие анэхогенные включения являются доброкачественными, некоторые из них могут быть предвестниками злокачественных процессов. Например, анэхогенные образования, которые не исчезают со временем или имеют определенные характеристики (например, неровные края), могут потребовать биопсии для исключения рака яичников.
-
Связь с гормональными изменениями: Анэхогенные включения могут быть связаны с гормональными изменениями в организме женщины, такими как нарушения менструального цикла или поликистоз яичников. Эти состояния могут влиять на фертильность и требуют комплексного подхода к лечению и наблюдению.
Важно помнить, что любые изменения в яичниках требуют консультации с врачом для правильной диагностики и выбора дальнейшей тактики.

Причины появления
Анэхогенные кисты чаще всего наблюдаются у женщин в репродуктивном возрасте, в то время как после наступления климакса они встречаются реже. Это связано с тем, что уровень эстрогенов в организме снижается. Большинство таких образований имеют доброкачественный характер. Причины их возникновения могут быть разнообразными, и не всегда врачу удается точно определить, что именно стало толчком к развитию заболевания.
Основной причиной, способствующей возникновению данной патологии, считается гормональный дисбаланс, который негативно сказывается на функционировании яичников. В период менопаузы тонкостенные анэхогенные образования в яичниках возникают чаще всего из-за воспалительных процессов в репродуктивной системе, образования спаек после хирургических вмешательств или повреждений яичников.
Основные симптомы
Многие женщины даже не догадываются о наличии у себя кисты. Образования с тонкой оболочкой размером менее 1 см обычно не проявляют никаких симптомов. Признаки начинают появляться только с увеличением размера образования.
Женщины могут испытывать следующие симптомы:
- чувство тяжести в области живота;
- тупые боли в нижней части живота, которые могут усиливаться при физической активности или во время полового акта;
- ложные позывы к дефекации и мочеиспусканию;
- болезненные ощущения при мочеиспускании.
Если вы заметили подобные симптомы, необходимо незамедлительно обратиться к гинекологу.

Диагностические методы
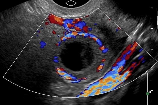
При визите к врачу в первую очередь осуществляется анализ клинической картины заболевания и изучение истории болезни пациентки. Затем проводится гинекологический осмотр на специальном кресле. Если киста небольшого размера, врач может ее не заметить. В таком случае для постановки диагноза используется ультразвуковое исследование. Этот метод позволяет выявить новообразования различных размеров, а также определить их тип, расположение и структуру. Обследование выполняется через влагалище, что дает возможность ближе подойти к яичникам и получить более детальное изображение. На экране анэхогенная киста яичника отображается как темное пятно.
Как проводится лечение
Если у пациентки нет проблем со здоровьем, киста небольшого размера и не вызывает дискомфорта, то лечение анэхогенного образования может не потребоваться. Однако при ухудшении состояния врачи часто прибегают к хирургическому вмешательству.
В зависимости от стадии развития новообразования врач выбирает один из следующих методов лечения:
- Наблюдательная тактика. Применяется только при функциональном типе кисты. Обычно такое анэхогенное образование в яичнике исчезает самостоятельно в течение нескольких месяцев. Если этого не происходит, назначаются медикаменты.
- Консервативное лечение. Включает гормональную терапию с использованием оральных контрацептивов. Эти препараты помогают снизить выработку женских половых гормонов, восстановить менструальный цикл и нормализовать работу яичников.
- Хирургический метод. Применяется, если другие методы лечения не дают результатов или при подозрении на злокачественное перерождение.
- Аспирационная терапия. Используется при отсутствии у кисты признаков опухоли. Процедура проводится следующим образом: во влагалище вводится датчик с насадкой для пункции, и содержимое кисты извлекается. Затем в образование вводится этиловый спирт, который разрушает его.
Выбор метода лечения аваскулярного образования яичника основывается на результатах УЗИ, а также зависит от тяжести заболевания, возраста женщины и наличия сопутствующих заболеваний, при которых противопоказаны определенные методы терапии.
Среди медикаментов при кисте могут быть назначены следующие препараты:
- «Дюфастон». Гормональное средство, являющееся синтетическим аналогом натурального прогестерона;
- «Марвелон». Комбинированный препарат, содержащий эстроген и прогестерон;
- «Жанин». Низкодозированный комбинированный препарат с эстрогенами и прогестероном.
Вместе с ними врачи рекомендуют принимать средства, поддерживающие иммунную систему, такие как витаминные комплексы.
Народные методы
Народная медицина предлагает множество рецептов, которые могут помочь в лечении анэхогенного образования на яичнике. Наиболее распространенные средства включают:
-
Мед. Этот продукт обладает множеством полезных свойств, способствующих укреплению иммунной системы и восстановлению тканей. Для приготовления средства необходимо взять сердцевину луковицы, залить ее медом и оставить на ночь для настаивания. Затем следует обмакнуть тампон в получившуюся смесь и ввести его во влагалище на ночь. Курс лечения составляет 10 дней.
-
Почки сосны. Для приготовления настоя потребуется столовая ложка сосновых почек, которые заливаются литром кипятка и настаиваются на ночь. Рекомендуется принимать этот настой трижды в день по полстакана. Курс лечения — один месяц.
-
Грецкие орехи. Они эффективно помогают в регулировании гормонального фона. Для приготовления средства скорлупу орехов заливают 250 мл спирта и настаивают в темном месте в течение трех дней. Принимать настой следует на голодный желудок по столовой ложке раз в день. Курс — 7 дней.
Перед использованием любых народных методов лечения обязательно проконсультируйтесь с вашим лечащим врачом.
Анэхогенное образование при беременности
В период беременности могут быть выявлены образования, не обладающие эхогенностью. Наиболее часто у женщин в положении диагностируется киста желтого тела. Это образование, как правило, не представляет опасности и способно рассосаться самостоятельно. В сочетании с задержкой менструации врач может заподозрить беременность. Гинеколог, как правило, рекомендует пройти тест на беременность. Если тест показывает положительный результат, а ультразвуковое исследование фиксирует анэхогенное образование в яичнике, но не обнаруживает плод, это свидетельствует о наличии лютеинового тела. Его основная функция заключается в создании оптимальных условий для развития эмбриона. Лютеиновое тело сохраняется в течение четырех месяцев, после чего его функции берет на себя плацента.
В некоторых случаях у беременных могут быть обнаружены и патологические кисты в одном из фолликулов. Опасность таких образований заключается в том, что под давлением матки они могут лопнуть, что приведет к перекручиванию ножки, отмиранию тканей или разрыву кисты. Эти состояния могут представлять серьезную угрозу для здоровья женщины. Если у пациентки диагностируется злокачественная киста яичника, которая быстро увеличивается в размерах (до 16-17 мм), гинеколог может принять решение о хирургическом вмешательстве. В период беременности предпочтение отдается менее травматичным методам операции, чтобы минимизировать риски для матери и плода. Если опухоль не демонстрирует роста, операцию можно отложить до родов.
Возможные осложнения
Опасность, связанная с кистой, заключается в возможных осложнениях. Если не проводить лечение, анэхогенное образование в яичнике будет увеличиваться, нанося вред организму женщины.
Наиболее серьезные осложнения, которые требуют немедленного вмешательства и хирургического лечения, включают следующие ситуации:
- перекрут ножки кисты. В этом случае пациентки испытывают сильные острые боли в нижней части живота. Из-за перекручивания опухоль лишается питания, что может привести к некрозу тканей образования и, в конечном итоге, к поражению придатков;
- разрыв кисты. При этом происходит вытекание всего содержимого в полость яичника, что может вызвать перитонит. Поскольку жидкость может содержать кровяные примеси, существует риск воспалительного процесса в яичнике;
- бесплодие или прерывание беременности. Долгое отсутствие лечения новообразования может нарушить функционирование яичников, которые играют ключевую роль в процессе зачатия;
- рак образования. Хотя это встречается нечасто, существуют случаи, когда киста может трансформироваться в онкологическое заболевание, затрагивающее и другие органы.
Эти патологические состояния требуют срочного хирургического вмешательства.
Профилактические мероприятия
Эхонегативные кисты часто встречаются в медицинской практике. Полностью избежать их появления невозможно, однако можно значительно снизить вероятность развития данной патологии, следуя профилактическим рекомендациям.
Прежде всего, важно контролировать гормональный баланс. Игнорировать его нарушения не следует, так как сбои в гормональной системе являются основной причиной формирования кистозных образований.
Кроме того, специалисты рекомендуют:
- регулярно принимать витамины для поддержания иммунной системы;
- вести активный образ жизни;
- отказаться от вредных привычек;
- правильно питаться;
- избегать стрессовых ситуаций;
- соблюдать режим труда и отдыха;
- проходить профилактический осмотр у врача-гинеколога не реже одного раза в год.
Анэхогенное образование в яичнике – это диагноз, который не должен вызывать паники. При своевременном начале лечения прогноз обычно положительный. Современная медицина предлагает множество методов для лечения кист, поэтому избавиться от них не составит труда.
Прогноз и последствия при отсутствии лечения
Прогноз при наличии анэхогенных включений в яичниках зависит от их природы и размера, а также от общего состояния здоровья женщины. Анэхогенные включения могут быть как доброкачественными, так и злокачественными, что делает их потенциально опасными. При отсутствии лечения и наблюдения за состоянием, риск прогрессирования заболевания значительно возрастает.
Если анэхогенные включения представляют собой функциональные кисты, такие как фолликулярные или лютеиновые кисты, они могут исчезнуть самостоятельно в течение нескольких менструальных циклов. Однако, если кисты не уменьшаются в размере или начинают вызывать симптомы, такие как боль внизу живота или нарушения менструального цикла, это может указывать на необходимость медицинского вмешательства.
С другой стороны, если анэхогенные включения являются признаком более серьезных заболеваний, таких как эндометриоз или опухоли, отсутствие лечения может привести к серьезным последствиям. Например, эндометриоз может вызвать хроническую боль, бесплодие и другие осложнения, если его не лечить. Злокачественные опухоли, в свою очередь, могут быстро прогрессировать и метастазировать, что значительно ухудшает прогноз и снижает шансы на успешное лечение.
Важно отметить, что регулярные ультразвуковые исследования и медицинские осмотры могут помочь в раннем выявлении изменений в яичниках. Это позволяет своевременно начать лечение и минимизировать риски. Женщинам, у которых обнаружены анэхогенные включения, рекомендуется следить за своим состоянием и обращаться к врачу при появлении новых симптомов или изменений в самочувствии.
В заключение, анэхогенные включения в яичниках могут представлять собой как безобидные, так и опасные состояния. Прогноз и последствия зависят от своевременной диагностики и лечения. Поэтому важно не игнорировать симптомы и проходить регулярные медицинские обследования.
Вопрос-ответ
Что такое анэхогенные включения в яичниках?
Анэхогенные включения в яичниках представляют собой области, которые не отражают ультразвуковые волны, что делает их видимыми на УЗИ как темные участки. Они могут быть связаны с различными состояниями, включая кисты, опухоли или другие патологии.
Каковы возможные причины появления анэхогенных включений?
Анэхогенные включения могут возникать по разным причинам, включая функциональные кисты, которые образуются в результате нормального менструального цикла, а также более серьезные состояния, такие как опухоли или эндометриоз. Важно провести дополнительное обследование для определения их природы.
Как диагностируются анэхогенные включения и какие методы используются для их оценки?
Анэхогенные включения обычно диагностируются с помощью ультразвукового исследования органов малого таза. В некоторых случаях может потребоваться дополнительная визуализация, такая как МРТ или КТ, а также анализы крови для оценки уровня гормонов и других маркеров, чтобы уточнить диагноз.
Советы
СОВЕТ №1
Регулярно проходите гинекологические обследования, включая УЗИ органов малого таза. Это поможет выявить анэхогенные включения на ранних стадиях и своевременно принять меры.
СОВЕТ №2
Обратите внимание на любые изменения в вашем организме, такие как боли внизу живота, изменения менструального цикла или необычные выделения. При появлении таких симптомов немедленно проконсультируйтесь с врачом.
СОВЕТ №3
Изучите информацию о возможных причинах анэхогенных включений, таких как кисты или опухоли, чтобы лучше понимать, какие факторы могут влиять на ваше здоровье и как их предотвратить.
СОВЕТ №4
Не стесняйтесь задавать вопросы своему врачу о результатах обследования и возможных вариантах лечения. Чем больше вы будете знать о своем состоянии, тем более осознанные решения сможете принимать.



