Желтое тело, или корпус лютеум, играет ключевую роль в репродуктивной системе женщины, обеспечивая условия для зачатия и поддержания беременности. Оно образуется после овуляции и вырабатывает гормоны, такие как прогестерон, которые подготавливают эндометрий к имплантации эмбриона. Понимание функций желтого тела, его нормальных размеров и причин его появления или отсутствия важно для диагностики и лечения гинекологических заболеваний, а также для планирования беременности. Эта статья поможет читателям разобраться в роли желтого тела и его влиянии на женское здоровье.
Что означает наличие желтого тела в яичнике
Менструальный цикл состоит из трех основных фаз: фолликулярной, овуляторной и лютеиновой. В первой фазе, под влиянием женских гормонов, вырабатываемых яичниками, происходит созревание фолликулов, содержащих яйцеклетки. Когда фолликулы достигают своего максимального размера, на 14-16 день после начала менструации происходит их разрыв, что называется овуляцией. Этот период является наиболее подходящим для зачатия и длится всего 1-2 дня.
После завершения овуляции, начиная с 16-17 дня цикла, начинается лютеиновая фаза, которая характеризуется образованием желтого тела в яичнике на месте лопнувшего фолликула. Основная функция этого образования заключается в выработке гормона прогестерона, который способствует продвижению яйцеклетки по фаллопиевой трубе для оплодотворения и закреплению плодного яйца на стенках матки. Если зачатие не произошло, желтое тело начинает регрессировать и исчезает к моменту начала менструации, что происходит на 25-27 день цикла.
Созревание фолликулов может занимать разное время, в то время как лютеиновая фаза обычно продолжается около 10 дней. Это означает, что желтое тело формируется за 12-13 дней до начала менструального кровотечения, независимо от длины цикла.
Наличие желтого тела на правом или левом яичнике указывает на то, что овуляция произошла. О достаточной выработке прогестерона и нормальном функционировании железы можно судить по появлению желтоватых выделений из влагалища. Если наступает беременность, желтое тело не регрессирует и продолжает свою работу в течение длительного времени.
Желтое тело, образующееся в яичнике после овуляции, играет ключевую роль в репродуктивной системе женщины. Эксперты подчеркивают, что основная функция этого временного эндокринного органа заключается в выработке гормонов, таких как прогестерон, который необходим для подготовки эндометрия к возможной имплантации оплодотворенной яйцеклетки. Прогестерон способствует утолщению слизистой оболочки матки, создавая благоприятные условия для развития эмбриона.
Кроме того, желтое тело также вырабатывает эстрогены, которые поддерживают нормальный гормональный баланс в организме. В случае отсутствия беременности желтое тело постепенно регрессирует, что приводит к снижению уровня прогестерона и, как следствие, к началу менструации. Таким образом, эксперты отмечают, что желтое тело является важным элементом в цикле репродуктивного здоровья женщины, обеспечивая как возможность зачатия, так и регуляцию менструального цикла.

Процесс образования ЖТ
Развитие железы проходит через несколько ключевых этапов, на каждом из которых изменяется ее функциональная активность. Выделяют четыре стадии формирования:
- Пролиферация. На этом этапе происходит образование желтого тела за счет деления клеток яичниковой оболочки. В результате накапливается гормон прогестерон, который затем будет активно вырабатываться.
- Васкуляризация. Здесь происходит рост кровеносных сосудов, что необходимо для улучшения местного кровообращения в придатке и вновь образованной железе.
- Расцвет. На этой стадии наблюдается активная выработка прогестерона, и желтое тело достигает своих максимальных размеров.
- Регресс. Функциональность железы снижается в отсутствие зачатия. Это приводит к прекращению роста эндометрия матки и его отслойке, что вызывает менструацию. Желтое тело выводится из организма вместе с менструальной кровью.
Эти процессы могут происходить как в правом, так и в левом придатках. У большинства женщин один из яичников считается доминантным, в котором и происходит овуляция, в то время как другой выполняет лишь гормональную функцию. Чаще всего желтое тело развивается после выхода яйцеклетки из правого яичника. Активность левого придатка наблюдается реже, но это не является патологией, а скорее индивидуальной особенностью организма.
У небольшого процента женщин наблюдается выход яйцеклеток и образование двух желтых тел в разных яичниках, что нередко приводит к беременности двойней или тройней.
В большинстве случаев в придатке созревает только один фолликул. Если же развивается несколько яйцеклеток и происходит их выход, то в одном яичнике могут образоваться два и более желтых тела. Это увеличивает вероятность многоплодной беременности и часто наблюдается после искусственной стимуляции овуляции или после прекращения приема оральных контрацептивов.

| Стадия развития желтого тела | Функция | Гормоны, продуцируемые желтым телом |
|---|---|---|
| Ранняя (пролиферативная) | Быстрый рост и развитие, васкуляризация | Эстрогены (в небольшом количестве) |
| Зрелая (секреторная) | Подготовка эндометрия к имплантации эмбриона, поддержание беременности на ранних сроках | Прогестерон, эстрогены (в умеренном количестве) |
| Регрессивная (атрезия) | Дегенерация, если имплантация не произошла | Снижение уровня прогестерона и эстрогенов |
| Желтое тело беременности | Поддержание беременности на ранних сроках, до формирования плаценты | Высокий уровень прогестерона и эстрогенов |
Интересные факты
Вот несколько интересных фактов о функциональном назначении желтого тела в яичнике женщины:
-
Производство гормонов: Желтое тело (корпус лютеум) образуется после овуляции и играет ключевую роль в выработке гормонов, таких как прогестерон и эстрогены. Прогестерон, в частности, необходим для подготовки эндометрия (слизистой оболочки матки) к возможной имплантации оплодотворенной яйцеклетки.
-
Временная структура: Желтое тело имеет временный характер и существует в среднем 10-14 дней, если не произошло оплодотворение. Если яйцеклетка была оплодотворена, желтое тело продолжает функционировать и производить гормоны до тех пор, пока не начнет работать плацента, что происходит примерно на 8-10 неделе беременности.
-
Роль в менструальном цикле: Если оплодотворение не произошло, желтое тело деградирует и превращается в белое тело (атретическое тело), что приводит к снижению уровня прогестерона и эстрогенов. Это, в свою очередь, вызывает отторжение слизистой оболочки матки и начало менструации, что является важным этапом менструального цикла.
Срок жизнеспособности железы
В случае, если зачатие не произошло, желтое тело (ЖТ) существует не более 10 дней. По истечении этого времени оно трансформируется в рубцовую ткань и прекращает синтез прогестерона, который отторгается во время менструации вместе с клетками эндометрия матки. Перед процессом отторжения такое образование в яичнике называется белым телом, которое оставляет после себя рубец. Под воздействием регрессирующих желез ткань придатка становится рубцовой.
Если же оплодотворение яйцеклетки прошло успешно и плодное яйцо закрепилось в стенках матки, желтое тело продолжает свою работу. Его жизнеспособность увеличивается до трех месяцев, пока формирующаяся плацента не начнет активно вырабатывать прогестерон. После этого железа теряет свою функцию и прекращает существование.
Когда необходимо исследование
Для того чтобы получить полное представление о работе железы, ее исследование проводится в разные дни менструального цикла. Такая диагностика назначается женщинам в следующих случаях:
- планирование беременности – по состоянию желтого тела можно судить о том, как прошла овуляция, а его функционирование указывает на вероятность зачатия;
- бесплодие – анализ месячного цикла включает в себя наблюдение за ростом фолликулов в яичниках, их разрывом и образованием желтого тела;
- наступление беременности – важно оценить состояние желтого тела; если его размер мал или оно отсутствует, может потребоваться поддержка с помощью гормональных препаратов;
- подозрение на наличие кисты желтого тела в правом или левом яичнике.
При нормальном течении менструаций обследование железы не требуется. Оно может стать необходимым в случае регулярного цикла при длительном отсутствии беременности.
Размеры железы
Желтое тело (ЖТ) на протяжении своего существования постоянно изменяет свои размеры. Особенно это изменение заметно в ходе обычного менструального цикла, когда оплодотворение не происходит.
Нормальные размеры желтого тела яичника при 28-дневном цикле следующие:
- 15-17 день от начала менструации – формирование ЖТ размером 12-15 мм;
- 18-22 день – активная выработка прогестерона железой диаметром 18-23 мм;
- 22-27 день – регресс желтого тела, его размер уменьшается до менее 15 мм;
- при наступлении беременности – ЖТ достигает размеров 24-30 мм;
- киста желтого тела – диагностируется при образовании диаметром более 3 см.
Для подтверждения успешного зачатия в случае обнаружения ЖТ при задержке менструации рекомендуется сдать анализ крови на уровень гормона ХГЧ.
Снижение диаметра железы по сравнению с нормальными показателями может указывать на ее недостаточную функцию и низкий уровень прогестерона.
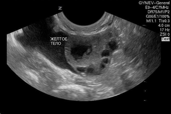
УЗИ желтого тела
Железо можно выявить с помощью УЗИ уже в первые дни его формирования. Оно выглядит как округлое образование с неоднородной структурой. Для его диагностики применяются трансабдоминальное или трансвагинальное УЗИ, то есть через брюшную стенку или с помощью введения датчика во влагалище. Процедура абсолютно безболезненна и безопасна, ее можно проводить на любом сроке беременности.
У девственниц и девушек гинекологическое УЗИ осуществляется через брюшную стенку.
Наличие желтого тела в яичнике может подтвердить беременность, но только после первых дней задержки менструации. Важно отличать его от кисты. Если железа обнаруживается в обоих придатках, это указывает на то, что овуляция произошла в обоих яичниках, что значительно увеличивает шансы на зачатие. При наличии персистирующего фолликула желтое тело в яичнике не визуализируется.
Однако отсутствие железа не всегда указывает на проблемы в организме. У многих женщин 1-2 раза в год наблюдаются ановуляторные циклы, что является нормальным явлением. Для подтверждения корректной работы придатков рекомендуется пройти повторное обследование в следующем месяце.
Сразу после овуляции, когда желтое тело только начинает формироваться в яичнике, врач может не увидеть его на УЗИ, поэтому диагностику лучше проводить через несколько дней после предполагаемого выхода яйцеклетки.
Возможные патологии
В гинекологии заболевания желтого тела в яичниках встречаются довольно редко. Наиболее часто они наблюдаются у женщин в репродуктивном возрасте, реже – у подростков и в период менопаузы.
Отсутствие железы
Женская менструация может отсутствовать из-за того, что яйцеклетки не были высвобождены. Для решения этой проблемы необходимо скорректировать гормональный баланс, и в некоторых случаях применяется искусственная стимуляция овуляции. Если в яичнике наблюдается недостаток или полное отсутствие желтого тела после выхода яйцеклетки, женщине могут быть назначены препараты, содержащие прогестерон.
При проведении искусственного оплодотворения специалисты часто прибегают к медикаментозной стимуляции, которая способствует образованию желтой железы.
Недостаточность желтого тела
Состояние диагностируется при небольших размерах желтого тела. Оно проявляется недостаточной продукцией гормонов второй фазы менструального цикла при нормальном процессе овуляции. В таких случаях дополнительно исследуется уровень прогестерона, для чего берется кровь на анализ. Для успешного зачатия необходимо назначение препаратов, содержащих прогестерон, которые женщина должна продолжать принимать после наступления беременности.
Киста
Киста желтого тела (ЖТ) диагностируется, когда образование превышает 30 мм в диаметре. Она может производить прогестерон, что в случае отсутствия беременности приводит к нарушению менструального цикла. Обычно такая киста проходит сама по себе, уменьшаясь и полностью исчезая во время менструации. В редких случаях она может сохраняться на протяжении 2-3 месяцев.
Некоторые кисты желтого тела яичника могут разрываться, что приводит к геморрагическому кровоизлиянию – попаданию крови в брюшную полость.
Для быстрого устранения кисты назначаются гормональные препараты. Их применение в течение нескольких месяцев помогает предотвратить повторное возникновение проблемы и восстанавливает нормальный менструальный цикл.
Желтое тело при беременности
При наступлении беременности желтое тело (ЖТ) не теряет своей активности и продолжает функционировать в обычном режиме. Оно увеличивается в размерах, так как в период гестации уровень прогестерона у женщины возрастает. Это необходимо для правильного развития плода и предотвращения выкидыша. Концентрация прогестерона в крови продолжает расти вплоть до родов: сначала его выработку обеспечивает желтое тело, а затем эту функцию берет на себя плацента.
Прогестерон является одним из ключевых гормонов во время беременности, и его недостаток часто приводит к невынашиванию.
Функции яичника с желтым телом в период беременности:
- содействие внедрению эмбриона в эндометрий матки и его удержанию;
- увеличение эластичности стенок матки;
- предотвращение дальнейшего созревания фолликулов в яичниках;
- снижение сократительной активности матки;
- стимуляция выработки пролактина для подготовки молочных желез к лактации;
- снятие нервного напряжения – действует в сочетании с эстрогенами, которые являются женскими половыми гормонами.
Желтое тело завершает свою функцию на 12-15 неделях беременности, превращаясь в белое тело.
В некоторых случаях во время беременности желтое тело может трансформироваться в кисту. Это не представляет угрозы для здоровья матери и ребенка, но требует более внимательного контроля за состоянием яичников.
Желтое тело – это железа внутренней секреции, необходимая для зачатия и успешного вынашивания ребенка. При наличии патологий у женщины может быть назначена коррекция гормонального фона с помощью специальных препаратов. Для профилактики заболеваний яичников и желтого тела важно регулярно посещать гинеколога.
https://youtube.com/watch?v=-9tlDWF-ZHY
Роль желтого тела в менструальном цикле
Желтое тело, или корпус лютеум, представляет собой временную эндокринную структуру, образующуюся в яичнике после овуляции. Оно играет ключевую роль в регуляции менструального цикла и поддержании беременности. Основной функцией желтого тела является выработка гормонов, таких как прогестерон, эстрогены и релаксин, которые необходимы для нормального функционирования репродуктивной системы женщины.
После овуляции, когда зрелая яйцеклетка покидает фолликул, оставшаяся часть фолликула трансформируется в желтое тело. Этот процесс называется лютеинизацией. Желтое тело начинает активно секретировать прогестерон, который способствует подготовке эндометрия (внутреннего слоя матки) к возможной имплантации оплодотворенной яйцеклетки. Прогестерон способствует утолщению и васкуляризации эндометрия, создавая благоприятные условия для прикрепления эмбриона.
Если оплодотворение не происходит, желтое тело начинает деградировать, что приводит к снижению уровня прогестерона и эстрогенов. Это снижение гормонов вызывает отторжение эндометрия, что и приводит к менструации. Таким образом, желтое тело играет критическую роль в переходе от фолликулярной фазы к лютеиновой фазе менструального цикла.
В случае успешного оплодотворения и имплантации, желтое тело продолжает функционировать под воздействием хорионического гонадотропина (ХГЧ), который вырабатывается развивающимся эмбрионом. ХГЧ поддерживает желтое тело, позволяя ему продолжать выработку прогестерона на ранних стадиях беременности, что критически важно для сохранения беременности до формирования плаценты, которая затем берет на себя функцию выработки гормонов.
Таким образом, желтое тело является важным элементом в сложной системе гормональной регуляции, обеспечивающей как менструальный цикл, так и ранние стадии беременности. Понимание его роли помогает лучше осознать механизмы, управляющие женским репродуктивным здоровьем и фертильностью.
Вопрос-ответ
Какова роль желтого тела в менструальном цикле?
Желтое тело образуется после овуляции и играет ключевую роль в подготовке организма к возможной беременности. Оно вырабатывает гормоны, такие как прогестерон, которые способствуют утолщению слизистой оболочки матки, создавая благоприятные условия для имплантации оплодотворенной яйцеклетки. Если беременность не наступает, желтое тело деградирует, уровень прогестерона падает, что приводит к началу менструации.
Что происходит с желтым телом при наступлении беременности?
Если происходит оплодотворение и имплантация яйцеклетки, желтое тело продолжает функционировать и вырабатывать прогестерон, поддерживая беременность в первые недели. Оно сохраняется до тех пор, пока не начнет функционировать плацента, которая берет на себя выработку необходимых гормонов.
Каковы последствия нарушения функции желтого тела?
Нарушение функции желтого тела может привести к недостаточной выработке прогестерона, что может вызвать проблемы с менструальным циклом, бесплодие или выкидыши. В таких случаях может потребоваться медицинское вмешательство для коррекции гормонального фона и поддержки беременности.
Советы
СОВЕТ №1
Изучите цикл менструации и роль желтого тела в нем. Понимание того, как функционирует менструальный цикл и как желтое тело влияет на уровень гормонов, поможет вам лучше осознать свое здоровье и репродуктивные функции.
СОВЕТ №2
Обратите внимание на признаки гормональных изменений. Если вы замечаете изменения в менструальном цикле, настроении или физическом состоянии, это может быть связано с работой желтого тела. Консультация с врачом поможет выявить возможные проблемы.
СОВЕТ №3
Поддерживайте здоровый образ жизни. Правильное питание, регулярные физические нагрузки и управление стрессом могут способствовать нормализации гормонального фона и поддержанию здоровья яичников, включая функционирование желтого тела.
СОВЕТ №4
Не игнорируйте регулярные медицинские осмотры. Посещение гинеколога и выполнение необходимых анализов помогут следить за состоянием репродуктивной системы и вовремя выявлять возможные отклонения в работе желтого тела.




